A Physiocare utiliza cookies para melhorar a sua experiência no website. Saiba mais.

Exames

Na Physiocare poderá fazer exames complementares de diagnóstico. Solicite já a sua marcação.

Marcação de Exames
news-1
Análises Clínicas

As análises clínicas são um conjunto de exames e testes realizados em contexto laboratorial, visando o diagnóstico de uma determinada patologia. Em parceria com o Centro de Medicina Laboratorial Germano de Sousa, a Physiocare dispõe de uma equipa científica e humanamente capacitada para responder às suas necessidades. Saiba mais.

news-1
Eletrocardiograma

Trata-se de um dos exames complementares de diagnóstico não invasivos mais frequentes, na avaliação da função cardíaca, detetando a atividade elétrica do coração. Faça já a sua marcação!

news-1
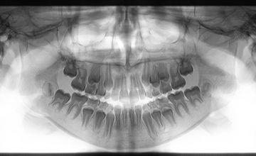
Ortopantomografia

Uma Ortopantomografia, também conhecida como radiografia panorâmica ou radiografia panorâmica da mandíbula, é um exame de imagem que fornece uma visão panorâmica dos dentes, mandíbula e estruturas adjacentes. É frequentemente usado na medicina dentária para avaliar a saúde oral e identificar possíveis problemas dentários.

news-1
Telerradiografia

Uma telerradiografia, também conhecida como radiografia cefalométrica, é um exame de imagem utilizado principalmente na área da ortodontia. É um tipo especial de radiografia que fornece uma visão frontal e lateral da cabeça e do crânio, permitindo uma avaliação detalhada das estruturas esqueléticas faciais.

news-1
Audiograma e Timpanograma

Um audiograma é um gráfico ou representação visual dos resultados de um exame chamado audiometria. A audiometria é um teste utilizado para avaliar a capacidade auditiva de uma pessoa, medindo sua habilidade de ouvir sons em diferentes frequências e intensidades.

Um timpanograma é um exame utilizado para avaliar a função do tímpano e da ouvido médio. Ele mede a complacência (elasticidade) do tímpano e a pressão no ouvido médio, fornecendo informações sobre a saúde do sistema de condução do som no ouvido.